Já percebeu que sua gengiva aparece mais do que gostaria quando ri ou fala?
Aparece ao escovar, usar fio dental ou até espontaneamente. Indica inflamação ativa, o que pode estar diretamente relacionado com doença periodontal.
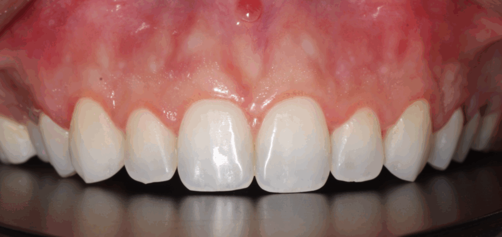
Mudanças na cor e textura da gengiva mostram que o tecido está inflamado e precisa de avaliação.
A halitose contínua pode estar ligada ao acúmulo de bactérias abaixo da gengiva.
Quando a gengiva “sobe” e o dente parece mais comprido. Além da estética, isso pode causar sensibilidade.
Um dos sinais mais importantes: pode indicar perda óssea avançada.
Comum em retrações e exposição da raiz.
Sorrir sem travar
Falar com mais segurança
Sentir que o sorriso finalmente combina com quem você é
Um detalhe sutil pode mudar completamente a forma como você se expressa.
O objetivo não é apenas melhorar a estética, mas preservar a função e a saúde do sorriso a longo prazo.
Dra. Laura Sanches é Mestre e Doutoranda em Periodontia pela USP, com atuação focada na saúde e na estética gengival.
Seu trabalho une técnicas avançadas da periodontia estética a um olhar sensível e criterioso, respeitando a individualidade de cada sorriso e a saúde periodontal como prioridade.
Cada tratamento é conduzido com base em avaliação detalhada, planejamento personalizado e decisões clínicas responsáveis, buscando resultados naturais, harmônicos e seguros.
A jornada e o propósito
A Odontologia sempre fez parte da minha vida. Inspirada pela minha mãe, também dentista, descobri cedo minha admiração pelo cuidado e pela precisão da profissão.
Na FORP-USP, encontrei na Periodontia o equilíbrio perfeito entre ciência, técnica e propósito. Concluí especialização e mestrado e sou doutoranda na área, sempre guiada pelo compromisso com a excelência e a pesquisa.







Perguntas Frequentes sobre Saúde Gengival e Periodontia